ÀÇÁ¤ºÎÀ»Áö´ëº´¿ø ³ªÃæ½Ç, È«¼®ÁØ ±³¼ö ¿¬±¸ÆÀ ¡¯º¹°­°æ Èĺ¹¸· ºÎ½ÅÀýÁ¦¼ú¡¯ ¼ö¼ú½Ã°£ ¿¬Àå ¿¹ÃøÀÎÀÚ ¿¬±¸

ºÎ½ÅÁ¾¾çÀº Å©±âº¸´Ù À§Ä¡·Î ¼ö¼ú½Ã°£¡¤³­À̵µ ¿¹Ãø

¸Ó´ÏÅõµ¥ÀÌ ´õ¸®´õ Á¤¹Î±Ô ±âÀÚ ÀÔ·Â : 2021.11.15 22:45
¡ãÀÇÁ¤ºÎÀ»Áö´ëÇб³º´¿ø °©»ó¼±³»ºÐºñ¿Ü°ú ³ªÃæ½Ç ±³¼ö
ºÎ½ÅÁ¾¾ç¿¡ ´ëÇÑ ¼ö¼ú½Ã°£À̳ª ³­À̵µ´Â Á¾¾çÀÇ Å©±â³ª ȯÀÚÀÇ ±âÀúÁúȯº¸´Ùµµ Á¾¾çÀÇ À§Ä¡¿¡ ´õ ¸¹Àº ¿µÇâÀ» ¹Þ´Â´Ù´Â ¿¬±¸°á°ú°¡ ³ª¿Ô´Ù.

ÀÇÁ¤ºÎÀ»Áö´ëÇб³º´¿ø °©»ó¼±³»ºÐºñ¿Ü°ú ³ªÃæ½Ç, È«¼®ÁØ ±³¼ö ¿¬±¸ÆÀÀº ¡®º¹°­°æ Èĺ¹¸· ºÎ½ÅÀýÁ¦¼ú¡¯À» ¹ÞÀº ȯÀÚ 284¸íÀÇ °³Àκ° Ư¼º°ú Á¾¾çÀÇ ÇüŸ¦ ¹ÙÅÁÀ¸·Î ¼ö¼ú½Ã°£ ¿¬Àå ¿øÀÎÀ» ºÐ¼®Çß´Ù.

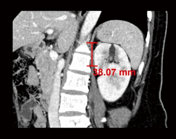
ÀÌ ¿¬±¸¿¡¼­ ´Ùº¯·® ·ÎÁö½ºÆ½ ȸ±ÍºÐ¼®*À» ÅëÇØ ¼ö¼ú½Ã°£°ú ȯÀÚµéÀÇ ¡ã¼ºº° ¡ã¿¬·É ¡ã±âÀúÁúȯ ¡ãÁ¾¾çÀÇ Æ¯¼º µîÀ» ºÐ¼®ÇØ ¼ö¼ú½Ã°£ ¿¬Àå ¿¹ÃøÀÎÀÚµéÀ» È®ÀÎÇÑ °á°ú ºÎ½ÅÁ¾¾ç ÇϺο¡¼­ ½ÅÀå »óºÎ±îÁöÀÇ ¼öÁ÷ °Å¸®°¡ ¼ö¼ú½Ã°£À» ¿¬Àå½ÃŰ´Â ÁÖ¿ä ¿¹ÃøÀÎÀÚÀÎ °ÍÀ¸·Î ¹àÇôÁ³´Ù.

*´Ùº¯·® ·ÎÁö½ºÆ½ ȸ±ÍºÐ¼®(Multivariate logistic regression analysis) : º¯¼ö °£ ¿¬°ü¼ºÀ» È®ÀÎÇÏ´Â ºÐ¼®¹ý

ÀÌ¾î ¡ã±âÀúÁúȯ(°¥»ö¼¼Æ÷Á¾) ¡ã¼ºº° ¡ãºÎ½Å ÁÖº¯ÀÇ Áö¹æ ºÎÇÇ ¡ãÈĺΠºñ¸¸Áö¼ö(PAI) µîÀÇ ¼øÀ̾ú´Ù. 

Áï ±âÀúÁúȯÀ¸·Î °¥»ö¼¼Æ÷Á¾À» ¾Î°í Àִ ȯÀÚ´Â ´Ù¸¥ ºÎ½ÅÁúȯÀ» ¾Î°í Àִ ȯÀÚ¿¡ ºñÇØ »ó´ëÀûÀ¸·Î ¼ö¼ú½Ã°£ÀÌ ±æ¾ú´Ù.

ÀÌ¿¡ ¹ÝÇØ Á¾¾çÀÇ Å©±â¿Í ȯÀÚÀÇ ½ÅüÀû ¿äÀÎÀÎ BMI(ºñ¸¸ Á¤µµ)´Â °ÅÀÇ ¿µÇâÀ» ¹ÌÄ¡Áö ¾Ê¾Ò´Ù.

ÀÌ·¯ÇÑ ¿¹Ãø¹æ¹ýÀº ÀÇ·áÁøÀÌ º¹ÀâÇÑ °úÁ¤À» °ÅÄ¡Áö ¾Ê°í ȯÀÚÀÇ ¿¹ÈÄ¿¡ Å« ¿µÇâÀ» ¹ÌÄ¡´Â ¼ö¼ú½Ã°£À» ½±°Ô ¿¹ÃøÇÏ°í °ü¸®ÇÏ´Â µ¥ µµ¿òÀÌ µÉ °ÍÀ¸·Î º¸ÀδÙ.

º¹°­°æ Èĺ¹¸· ºÎ½ÅÀýÁ¦¼úÀº Èĺ¹¸·(¿·±¸¸®)¿¡ º¹°­°æÀ» »ðÀÔ, ´Ù¸¥ Àå±â¸¦ °Çµå¸®Áö ¾Ê°í Á÷Á¢ ºÎ½Å¿¡ Á¢±ÙÇØ Á¾¾çÀ» Á¦°ÅÇÏ´Â ¼ö¼ú¹ýÀ¸·Î ÈÄÀ¯ÁõÀÌ Àû°í ȸº¹ÀÌ ºü¸£´Ù. 

±×·¯³ª ¼ö¼ú ½Ã¾ß°¡ »ó´ëÀûÀ¸·Î Á¼°í Àͼ÷Ä¡ ¾Ê¾Æ ¼ö¼ú¿¡ ¸¹Àº ¾î·Á¿òÀ» ÁØ´Ù.

³ªÃæ½Ç ÀÇÁ¤ºÎÀ»Áö´ëº´¿ø °©»ó¼±³»ºÐºñ¿Ü°ú ±³¼ö´Â ¡°ºÎ½ÅÁ¾¾çÀÇ À§Ä¡´Â ¼ö¼ú Àü CT°Ë»ç¸¦ ÅëÇØ ½±°Ô ÃøÁ¤ÇÒ ¼ö ÀÖ´Ù¡±¸ç, ¡°À̹ø ¿¬±¸°¡ ȯÀÚÀÇ ¿¹ÈÄ¿¡ Å©°Ô ¿µÇâÀ» ¹ÌÄ¡´Â ¼ö¼ú½Ã°£À» »çÀü¿¡ ¿¹ÃøÇØ ´ëºñÇÏ°í »çÈİü¸®¿¡ µµ¿òÀÌ µÉ °ÍÀ¸·Î ±â´ëÇÑ´Ù¡±°í ¸»Çß´Ù.

À̹ø ¿¬±¸´Â ±¹Á¦ ¼ö¼ú ÇмúÁöÀÎ ¡¯International Journal of Surgery¡® 10¿ùÈ£(Volume 94, Article 106113)¿¡ °ÔÀçµÆ´Ù.
¡ã ºÎ½ÅÁ¾¾ç ÇϺο¡¼­ ½ÅÀå »óºÎ±îÁöÀÇ ¼öÁ÷ °Å¸®

jmg1905@mt.co.kr
PDF Áö¸éº¸±â