|  | 
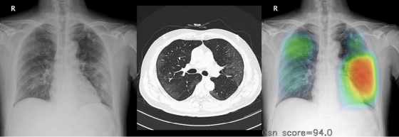
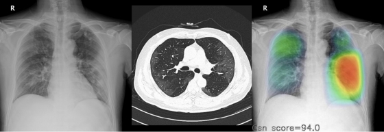
| ¡ã(¿ÞÂʺÎÅÍ) Äڷγª19 È®ÁøÆÇÁ¤À» ¹ÞÀº ȯÀÚÀÇ ÈäºÎ ¿¢½º·¹ÀÌ, CT, AI ºÐ¼® »çÁø | 
¼¹ü¼® ·ç´Ö ´ëÇ¥´Â ¡°Äڷγª19 ȯÀÚ´Â ´ëºÎºÐ Æó·ÅÀ» Æ÷ÇÔÇÑ ÆóÁúȯÀ» µ¿¹ÝÇϱ⠶§¹®¿¡, ¹Ì±¹À» ºñ·ÔÇÑ ¿©·¯ ±¹°¡¿¡¼ ÈäºÎ ¿¢½º·¹À̸¦ ÅëÇÑ È¯ÀÚ ¼±º° ¹æ¹ýÀ» Ȱ¿ëÇϰí ÀÖ´Ù¡±¸ç ¡°À̹ø ³í¹®Àº Äڷγª19 Áø´Ü °úÁ¤¿¡¼ ÈäºÎ ¿¢½º·¹ÀÌ¿Í ÀΰøÁö´ÉÀÌ °áÇÕÇßÀ» ¶§ÀÇ ÀÓ»óÀû °¡Ä¡¸¦ ½ÇÁ¦ Áø·áÇöÀå¿¡¼ °ËÁõÇß´Ù´Â µ¥¿¡ Àǹ̰¡ ÀÖ´Ù¡±°í ¸»Çß´Ù.
ƯÈ÷ À̹ø ¿¬±¸´Â ·ç´Ö ÀλçÀÌÆ® CXRÀ» Ȱ¿ëÇØ Äڷγª19 ÀÇ½É È¯ÀÚµéÀÇ ÈäºÎ ¿¢½º·¹À̸¦ ÆÇµ¶ÇÒ °æ¿ì, Äڷγª19 Ç¥ÁØ Áø´Ü¹ý ´ëºñ 10¹è ºü¸¥ ºÐ¼®À¸·Î ȯÀÚ¸¦ Á¶±â¿¡ ºÐ·ù, °Ý¸®, Ä¡·á¸¦ ½ÃÀÛÇÒ ¼ö ÀÖ´Ù´Â Á¡¿¡¼ ´«±æÀ» ²ö´Ù.
¿¬±¸¸¦ ÁÖµµÇÑ ¼¿ï´ëÇб³º´¿ø ¿µ»óÀÇÇаú ¹Úâ¹Î ±³¼ö´Â ³í¹®À» ÅëÇØ ¡°ÀϹÝÀûÀ¸·Î ÈäºÎ ¿¢½º·¹ÀÌ(CXR) °Ë»ç´Â ºñ¿ëÀÌ Àú·ÅÇÏ°í ¸¹Àº ȯÀÚ¸¦ ½Å¼ÓÇÏ°Ô °Ë»çÇÒ ¼ö ÀÖÀ¸¸ç, ¼Òµ¶¿¡µµ À¯¸®ÇØ Äڷγª19ÀÇ ÀÏÂ÷ÀûÀÎ ¿µ»ó°Ë»ç·Î »ç¿ëµÇÁö¸¸, ¿ÀÁø °¡´É¼ºÀÌ ³ô´Ù´Â ´ÜÁ¡ÀÌ ÀÖ´Ù¡±¸ç ¡°ÀÌ·± ´ÜÁ¡À» ±Øº¹ÇϰíÀÚ ¿ì¸® º´¿ø¿¡¼´Â 2020³â 1¿ù 31ÀϺÎÅÍ Äڷγª19 È®Áø ȤÀº ÀǽɵǴ ¸ðµç ȯÀÚ¿¡ ·ç´Ö ÀλçÀÌÆ® CXRÀ» ÀÌ¿ëÇØ ¿µ»óÆÇµ¶À» ½ÃÇàÇϰí ÀÖ´Ù.
·ç´Ö ÀλçÀÌÆ® CXRÀº ÀΰøÁö´ÉÀÌ È¯ÀÚÀÇ ÈäºÎ ¿¢½º·¹ÀÌ »çÁøÀ» ¼ö ÃÊ ³»·Î ºÐ¼®ÇØ, °¢ Áúȯ ÀÇ½É ºÎÀ§¿Í ÀÇ½É Á¤µµ¸¦ »ö»ó µîÀ¸·Î ÀÚµ¿ Ç¥±âÇÏ´Â ¹æ½ÄÀÌ´Ù. ȯÀÚÀÇ ¾çÂÊ Æó¿¡ Á¸ÀçÇÏ´Â º´º¯À» Á¤È®ÇÏ°Ô ³ªÅ¸³ÂÀ½À» È®ÀÎÇÒ ¼ö ÀÖ´Ù.
·ç´Ö ÀλçÀÌÆ® CXRÀÇ Áø´ÜÀû À¯¿ë¼ºÀ» È®ÀÎÇϱâ À§ÇØ ¿¬±¸¿¡¼´Â µÎ °¡Áö ¹æ¹ýÀ¸·Î Áø´Ü È¿°ú¸¦ Á¶»çÇß´Ù. Äڷγª19ÀÇ Ç¥ÁØ °Ë»ç¹ýÀÎ ¡®PCR °Ë»ç¡¯¿Í, Æó·Å¿©ºÎ¸¦ È®ÁøÇÒ ¼ö ÀÖ´Â ÈäºÎ CT¸¦ ±âÁØÀ¸·Î ºñ±³ºÐ¼®À» ÁøÇàÇß´Ù.
±× °á°ú, ·ç´Ö ÀλçÀÌÆ® CXRÀ» Ȱ¿ëÇØ ÆÇµ¶ÇÑ °æ¿ì Æó·ÅÀ» µ¿¹ÝÇÑ Äڷγª19 ¾ç¼º ȯÀÚÀÇ 81.5%¸¦ Á¤È®È÷ Áø´ÜÇØ ³Â´Ù.
ÀÌ´Â ´Ù¼öÀÇ Äڷγª19 °¨¿° ÀǽÉÀÚ¸¦ ºü¸£°Ô Áø´ÜÇØ ¿ì¼±ÀûÀ¸·Î °Ë»çÇÒ ´ë»óÀ» ¼±º°ÇØ ÀûÀýÈ÷ °Ý¸®Çϰí, ȯÀÚÀÇ ÁßÁõµµ¸¦ ºÐ·ùÇÏ´Â ÀÛ¾÷¿¡¼ ·ç´Ö ÀλçÀÌÆ® CXRÀÌ À¯¿ëÇÏ°Ô È°¿ëµÉ ¼ö ÀÖ´Ù´Â Á¡À» ½Ã»çÇÑ´Ù.
·ç´Ö ÀλçÀÌÆ® CXR º¸Á¶·Î Äڷγª19 ÀÇ½É È¯ÀÚµéÀÇ ÈäºÎ ¿¢½º·¹À̸¦ ÆÇµ¶ÇÒ °æ¿ì, (À§ÂʺÎÅÍ) PCR °Ë»ç¸¦ ÅëÇØ Äڷγª19 È®ÁøÀ» ¹ÞÀº ȯÀÚ´Â 68.8%ÀÇ °ËÃâÀ²À», Æó·ÅÀ» µ¿¹ÝÇÑ ¾ç¼º µ¥ÀÌÅÍ È¯ÀÚ´Â 81.5%ÀÇ °ËÃâÀ²À» º¸¿´´Ù.
·ç´ÖÀÇ »ç¾÷°³¹ßÀ» ÃѰýÇÏ´Â Àå¹ÎÈ« ÀÌ»ç´Â ¡°ÃÖ±Ù Äڷγª19 »çŰ¡ ´Ù½Ã ½É°¢ÇØÁö¸é¼, ÀÇ·áÁøµéÀ» µµ¿Í Áø·á È¿À²À» ±Ø´ëÈ ÇÒ ¼ö ÀÖ´Â AIÀÇ Çʿ伺ÀÌ ´õ¿í Ä¿Áö°í ÀÖ´Â °¡¿îµ¥ Äڷγª19 °ËÃâ¿¡ ÀÖ¾î ·ç´ÖÀÇ ±â¼ú·ÂÀ» ÇмúÀûÀ¸·Î ÀÎÁ¤ ¹Þ¾Æ ±â»Ú´Ù¡±¸ç ¡°·ç´Ö ÀλçÀÌÆ® CXRÀÇ È°¿ëÀÌ º¸´Ù ¸¹Àº »ç¶÷µé¿¡°Ô µµ¿òÀÌ µÅ ÀÌ ¾î·Á¿î ½Ã±â¸¦ ÇÔ²² ±Øº¹ÇÒ ¼ö ÀÖµµ·Ï ²÷ÀÓ¾ø´Â ¿¬±¸¿Í ¼º´É °³¼±À» ÇÒ ¿¹Á¤¡±À̶ó°í ¹àÇû´Ù.
½ÇÁ¦·Î ÃÖ±Ù ·ç´Ö ÀλçÀÌÆ® CXRÀº º¸´Ù Á¤È®ÇÑ Äڷγª19ÀÇ °ËÃâ°ú ¼±º°À» ÇÒ ¼ö ÀÖµµ·Ï ¼ö õ °³ÀÇ Äڷγª19 È®Áø µ¥ÀÌÅ͸¦ ÇнÀ½ÃÄÑ ¾÷µ¥ÀÌÆ®¸¦ ¿Ï·áÇß´Ù. ÇöÀç Àü ¼¼°è 10°³ ÀÌ»óÀÇ ±¹°¡¿¡¼ Äڷγª19 Áø´Ü¿¡ »ç¿ëµÇ¸ç ÀÇ·áÁøµéÀ» µ½°í ÀÖ´Ù.
±¹³» ½Ä¾àó ¹× À¯·´ CE ÀÎÁõÀ» ¹ÞÀº ·ç´Ö ÀλçÀÌÆ® CXRÀº ÀÇ·áÀεéÀÌ È°¿ëÇÒ ¼ö ÀÖµµ·Ï µ¥¸ð À¥ÆäÀÌÁö¸¦ ¿î¿µÇϰí ÀÖ´Ù.





















 
                             
                             
                             
                             
                             
                             
                             
                             
                             
                             
        